Prof. Dr. Hany Abdel Gawwad Soliman

Prof. Dr. Hany Abdel Gawwad Soliman 

Consultant Spine Surgeon 


Languages Spoken

English, Arabic

Prof. Dr. Hany Abdel Gawwad is a world-renowned Professor & Consultant with over 20 years of remarkable expertise in Advanced Spinal Deformity Surgery in Pediatrics and Adults. With his one-of-a-kind techniques, Prof. Dr. Hany Abdel Gawwad has been instilling hope and restoring optimal Spine health in children and adults from across the globe.

Prof. Dr. Hany Abdel Gawwad has an impressive background in Spine Surgery, having worked at Al-Azhar University and the Nasser Institute. He has gained significant experience in this field, which forms the foundation of his expertise. Dr. Hany focuses on Post-Traumatic Kyphosis Correction Surgery, demonstrating his commitment to treating complex spinal issues. To further his knowledge and skills, he has completed multiple Spine Fellowships, including prestigious programs in the USA and Canada. He completed fellowships at the Spine Institute, Cleveland Clinic, Ohio, USA, and the University of Montreal, Quebec, Canada.

Prof. Dr. Hany Abdel Gawwad is committed to staying at the forefront of the advancements in Complex Spine Surgery. He has been recognized for mastering recent techniques and has received national and international acclaim. Dr. Hany has been awarded by various organizations and universities across the world in acknowledgement of his exceptional contributions to Spine Surgery. With his wealth of experience and commitment to excellence, Dr. Hany continues to make significant strides in the realm of Adult and Pediatric Spine Surgery.

PROFESSIONAL BACKGROUND

EDUCATIONAL QUALIFICATIONS

  • Master’s Degree onSpine Surgery, Al-Azhar University
  • Spine Fellowship –Spine Institute, Cleveland Clinic, Ohio USA, 2007 & 2012
  • Spine Fellowship,University of Montreal, Quebec, Canada, 2014 & 2016
  • Doctorate Degree inOrthopaedic Surgery, Al Azhar University 

AREAS OF EXPERTISE

  • Adult & Pediatric Spine Deformities
  • Scoliosis
  • Kyphosis 

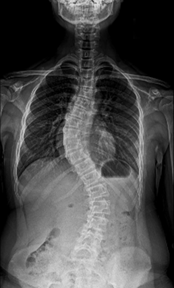
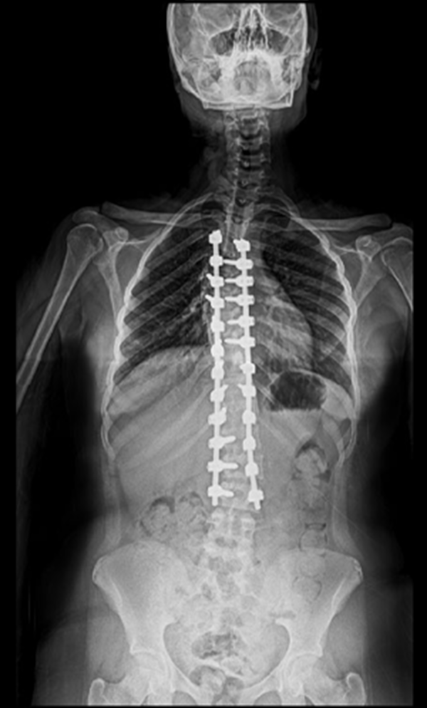
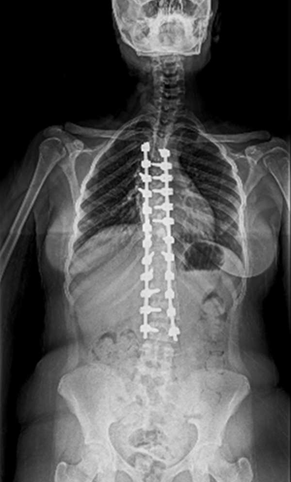
BEYOND RECOVERY : REAL STORIES

Gallery : Before - After

calendar-icon-desktop Adam hospital whatsapp
 BOOK NOW| CALL NOW| whatsapp icon  CHAT

MOH License Number : KM06512 – 10/06/2026