Scoliosis-Treatment-in-dubai

Scoliosis Center of Excellence

Embrace Strength : With Adam Vital's dedicated Scoliosis Care and Recovery.

Welcome to Adam Vital Hospital, where we provide advanced and compassionate care for individuals facing the challenges of scoliosis and more complex conditions like kyphosis. Our dedicated team of experts is committed to enhancing lives through personalized treatment plans and state-of-the-art medical interventions.

WHAT IS SCOLIOSIS︖

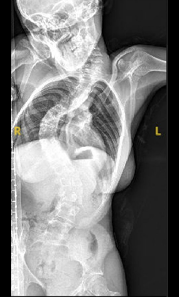
Scoliosis is a common condition characterized by a sideways curvature of the spine, often emerging during puberty. While its origins can vary, most cases are mild. However, without proper attention, severe deformities may lead to significant functional disabilities, impacting lung function and overall well-being.

captcha code  

TYPES OF SCOLIOSIS

  1. Idiopathic Scoliosis : The most prevalent type, with no definite cause.
  2. Congenital Scoliosis : Present at birth due to spinal deformities.
  3. Neurological Scoliosis : Caused by nerve abnormalities affecting spine muscles.
  4. Structural Scoliosis : Permanent deformity from injury, disease, or birth defects.
  5. Non-structural Scoliosis : Temporary curves that can be corrected.

TYPES OF KYPHOSIS

  • Postural Kyphosis : Caused by poor posture and can often be corrected with lifestyle changes.
  • Scheuermann's Kyphosis : Develops during adolescence and involves structural changes in the spine.
  • Congenital Kyphosis : Present at birth due to spinal malformations.
  • Age-Related Kyphosis : Occurs in older adults due to degenerative changes in the spine.

SYMPTOMS

Uneven shoulders

Prominent shoulder blade

Uneven waist

Asymmetrical hip levels

IDENTIFYING KYPHOSIS

Rounded Shoulder

Hump on the upper back

Back pain or stiffness

Fatigue and muscle weakness

CAUSES

  • Poor posture
  • Osteoporosis
  • Degenerative disc disease
  • Spinal fractures
  • Congenital abnormalities
  • Hereditary factors play a role.
  • Neuromuscular conditions like cerebral palsy or muscular dystrophy.
  • Birth defects influencing spinal bone development.
  • Spine injuries or infections.

RISKS

  1. Onset during the growth spurt before puberty.
  2. Higher risk for girls than boys.
  3. Familial connections, though most cases lack a family history

COMPLICATIONS

  • Lung and heart damage due to rib cage pressure.
  • Back problems, especially in adults with scoliosis.
  • Noticeable changes in posture and body symmetry

Different Treatment for Scoliosis Correction

1. Spinal Fusion (Complex Scoliosis Correction) — Typically Severe / Progressive Curves

Spinal Fusion is the most established surgical option for scoliosis and is commonly recommended for Moderate-to-Severe or Complex Curves, especially when the curve is progressing or affecting balance and function. It is most often considered when curves reach ~45–50° or more in many adolescent cases, and for larger or symptomatic progressive curves in adults (threshold can vary by case).

The procedure involves repositioning the spine and securing it with Screws and Rods. Bone graft is then placed so the treated vertebrae gradually heal together into one solid segment. This creates long-term stability, preventing further curve progression and improving overall alignment.

Read More

2. Vertebral Body Tethering (VBT) — Selected Moderate Curves

Vertebral Body Tethering (VBT) is a Minimally Invasive, Non-Fusion Technique used in selected Scoliosis cases to improve Spinal Alignment while maintaining more Natural Movement. It is commonly considered for progressive, flexible curves, often in the range of ~30–65° in appropriate candidates (exact criteria vary by surgeon and patient factors).

This procedure is performed through small side incisions, where the surgeon places anchors along the side of the curved vertebrae and connects them using a flexible tether cord. The tether is gently tensioned to correct the curve and support a more balanced spine, while remaining flexible to help preserve mobility.

Read More

3. Hybrid Scoliosis Surgery (PSF + VBT) - Mixed / Complex Curves

Hybrid Scoliosis Surgery is a combined approach that utilizes Spinal Fusion for the most rigid and structural part of the spinal curve, while applying a Motion-Preserving Technique typically Vertebral Body Tethering (VBT) to treat a more flexible adjacent segment. This option is not routine for every patient; it is considered only in select cases after a thorough assessment by a specialist. Factors evaluated include the curve pattern, flexibility as shown on bending X-rays, overall spinal balance, and the patient's growth or skeletal maturity. Follow-up appointments are essential for monitoring alignment over time.

Typical Cobb-angle ranges (for General Guidance; Individualized by Case) are as follows:

  • Fusion Component (for Structural/Rigid Curves): This is often considered when a significant curve measures around 45° to 50° or more, especially if it is progressive, causing imbalance, or affecting the patient's function or appearance.
  • Tether/VBT Component (for Flexible Curves): This is typically considered for selected flexible, progressive curves that measure approximately 30° to 65°, depending on the curve's flexibility, type, and the patient's growth status.

Read More

4. Minimally Invasive Scoliosis Correction — Selected Mild-to-Moderate Curves

Minimally Invasive Scoliosis Correction refers to surgical techniques performed through small, targeted back incisions, using specialized instruments and muscle-sparing access to Correct and Stabilize the Spinal Curve. It is generally considered for selected curve patterns, often mild-to-moderate curves—commonly around ~25–45°, depending on complexity, flexibility, and the surgical plan.

In selected cases, the surgeon can place the necessary fixation and perform correction with reduced soft tissue disruption, supporting a recovery-focused approach. Suitability depends on curve pattern, complexity, and specialist assessment.

5. Magnetic Controlled Growing Rods (MCGR) — Early-Onset / Progressive Curves in Growing Patients

Magnetic Controlled Growing Rods (MCGR) offer a growth-friendly option for selected patients who are still growing and need curve control while allowing the spine to continue developing. Magnetic Rod is typically considered when curves are progressive and significant, often ~40–60° or more, especially in early-onset scoliosis where preserving growth is important (threshold varies by case).

Rods are implanted along the spine to guide growth and assist in managing the curve. They can be lengthened non-invasively during follow-up visits using an external magnetic controller, reducing the need for repeated open surgeries for lengthening, with careful monitoring over time.

Read More

6. Active Apex Correction (APC) — Typically Severe / Progressive Early-Onset Curves

Active Apex Correction (APC) is a newer Non-Fusion Technique designed to guide the growth of the spine in selected cases of Scoliosis. The primary goal is to control progression while allowing the spine to continue growing and remain mobile. This approach is typically considered for progressive early-onset scoliosis when the spinal curve is significant, often exceeding 40° (measured by the Cobb angle), as noted in various APC studies. Specific curve characteristics, such as vertebral wedging at the apex, also influence the decision to use APC.

The APC Technique focuses on correcting the curvature at the apex of the spine, the most severely curved segment. It utilizes specialized implants to apply controlled forces, which gradually guide the spine toward improved alignment over time. Careful follow-up is essential to monitor the growth response and the behavior of the spinal curve.

7. Neuromuscular Scoliosis Surgery — Typically Moderate-to-Severe / Rapidly Progressive Curves

Neuromuscular Scoliosis is associated with underlying Neurological or Muscular Conditions and can progress more rapidly than typical Scoliosis. This progression often impacts sitting balance, comfort, and breathing mechanics. Surgical intervention is generally considered when spinal curves reach approximately ~40–50° or more, especially if the curve is progressive or causing significant functional issues. In some cases of neuromuscular scoliosis, surgery may even be recommended earlier, around ~20–40°, if the curve is rapidly worsening and affecting daily function.

The surgical procedure typically involves Long-Segment Stabilization using Screws and Rods, and may also include Pelvic Fixation. The goal of the surgery is to improve overall alignment, sitting balance, and long-term care needs. Due to the medical complexities of these patients, a Multidisciplinary Approach is essential in planning the surgical intervention.

Other Non-Surgical Treatment Options :

Bracing — Mild to Moderate Curves (typically ~25–40°)

For patients who are still growing and have curves in this range, a brace may be recommended to help slow progression and support spinal alignment.

  • Underarm Brace : Low-profile and worn under clothing; commonly used for many mid-to-lower spine curves.
  • Milwaukee Brace : Extends higher to provide broader torso and neck support; used when more extensive control is needed (often for upper spine curves).

BEYOND RECOVERY : REAL STORIES

Gallery : Before - After

After
Before
calendar-icon-desktop Adam hospital whatsapp
 BOOK NOW| CALL NOW| whatsapp icon  CHAT

MOH License Number : KM06512 – 10/06/2026