Dr. med. Hazem Ahmed Elfezary

Dr. med. Hazem Ahmed Elfezary

Consultant Orthopaedic Spine Surgeon


Languages Spoken

English, Arabic & German

Dr. med. Hazem Ahmed Elfezary is a highly accomplished German Board Orthopaedic & Spine Surgeon with dual doctoral degrees in Orthopedic and Spine Surgery from Hannover University in Germany. He has vast experience in leading Complex Spine and Spinal Deformity Centers at some of the most reputed German Hospitals. Prior to Adam Vital Hospital, Dr. med. Hazem served as the Head of Spine Surgery at St. Augustinus Hospital Düren (a teaching hospital of globally acclaimed Aachen University). Currently serving as Assistant Professor at Hannover Medical College, he holds the prestigious Eurospine Diploma and Master Certificate from the German Spine Society (DWG). A respected member of AO Spine, Eurospine, and DWG, Dr. Elfezary has delivered numerous scientific presentations at international congresses and published extensively in peer-reviewed journals, contributing significantly to the field of Spinal Deformity and Minimally Invasive Spine Surgery.

PROFESSIONAL BACKGROUND

AREA OF EXPERTISE

  • Complex Spine Surgeries
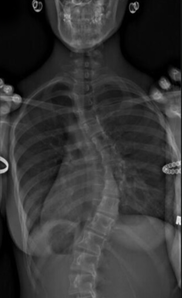
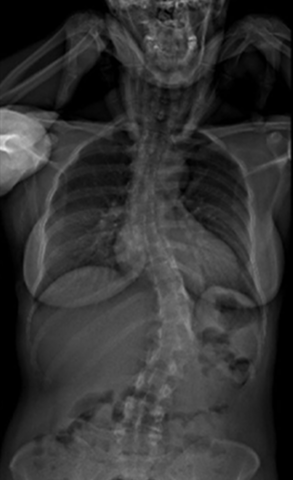
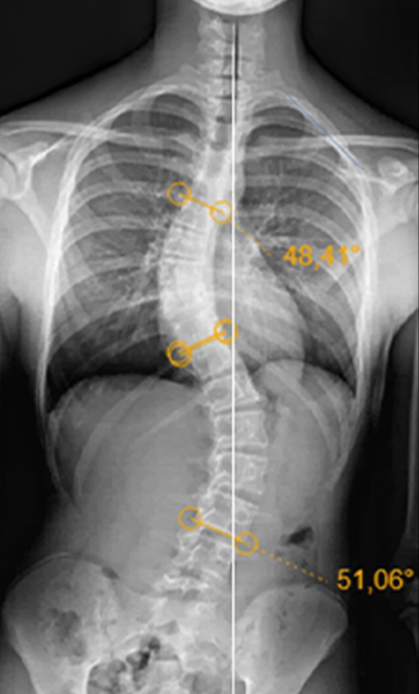
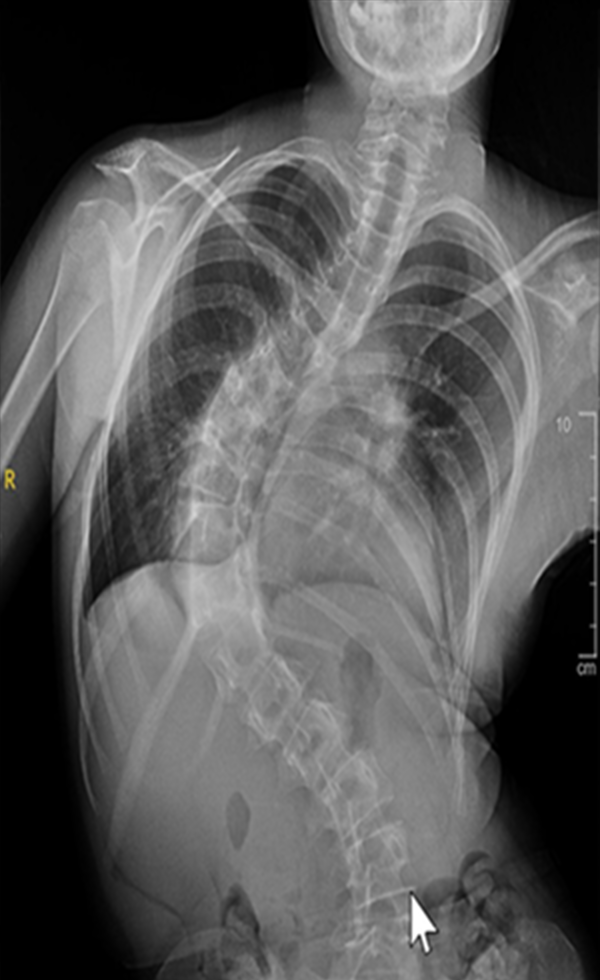
  • Spine Deformity Surgeries (Scoliosis & Kyphosis)
  • Dynamic Scoliosis Correction (Non-Fusion Technique)
  • Reconstructive Surgery for Scoliosis & Kyphosis
  • Minimally Invasive Surgery (Microscopic & Endoscopic)
  • Inter-Vertebral Disc Replacement
  • Vertebral Body Replacement
  • Spinal Fusion Surgery
  • Spine Tumor Surgery

MEMBERSHIP & AFFILIATIONS

  • Member of AO Spine
  • Member of the Spine Society Europe
  • Member of the German Spine Society (DWG)

EDUCATIONAL QUALIFICATIONS

  • Doctoral Degree (MD) in Spine Surgery, Faculty of Medicine Hannover University
  • Doctoral Degree (MD) in Orthopedic Surgery, Faculty of Medicine Hannover University
  • Master Certificate in Spine Surgery, German Spine Society (DWG)
  • Eurospine Diploma in Spine Surgery, Eurospine
  • Certificate of Medical Specialist in Orthopedics and Trauma Surgery, German State’s Chamber of Physicians (Arztekammer)
  • Special Knowledge in Radiation Protection – Skeletal & Thorax X-ray Diagnostics, German Medical Council
  • Certificate of Medical Specialist in Emergency Medicine, German State’s Chamber of Physicians (Arztekammer)
  • Special Knowledge in Radiation Protection Emergency Diagnostics for Adults and Children, German Medical Council
  • Bachelor of Medicine and Surgery, M.B.B.Ch Faculty of Medicine, Cairo University

CREDENTIALS

  • Head of Spine Surgery Department St. Augustinus Hospital Düren – Teaching Hospital of Aachen University
  • Assistant Professor of Orthopedic Surgery Hannover Medical College, Germany

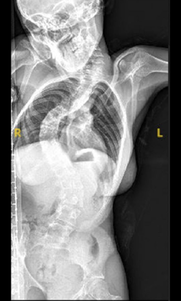
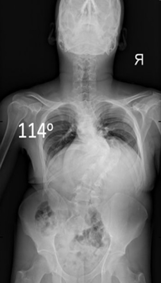
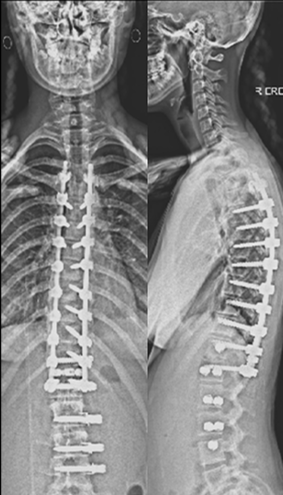
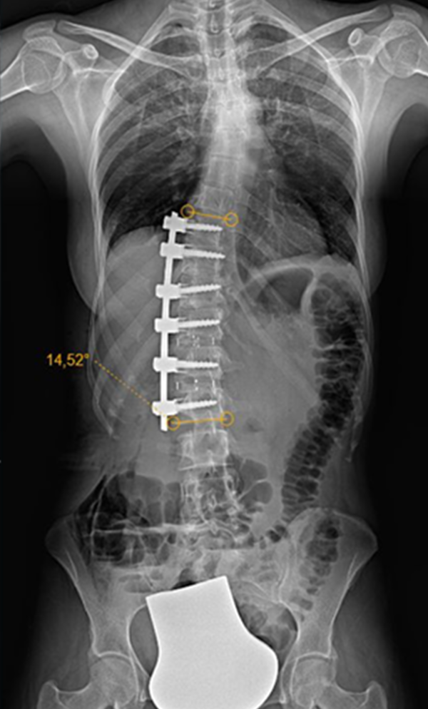
Gallery : Before - After

calendar-icon-desktop Adam hospital whatsapp
 BOOK NOW| CALL NOW| whatsapp icon  CHAT

MOH License Number : KM06512 – 10/06/2026