Dr. med. Ziad Aljian, Best Spine Surgeon in Dubai

Dr. med. Ziad Aljian

Consultant Orthopaedic Spine Surgeon


Languages Spoken

English & Arabic

Dr. med. M. Ziad Aljian is a German Board-Certified Spine Surgery & Orthopaedics with 20+ years of Clinical and Surgical experience, with a strong focus on Orthopaedic and Spine Surgery as well as Pain Management. He holds the German Board in Orthopaedics & Spine Surgery and the German Board in Pain Therapy, reflecting a comprehensive approach to treating Complex Spine and Musculoskeletal conditions with both surgical and interventional expertise.

Internationally, he has held Senior Consultant and Leadership appointments across the UAE and Germany, with deep, hands on expertise across the full spectrum of Spine Care including Complex Deformity Correction (Scoliosis/Kyphosis and Sagittal Balance), Paediatric Spine Deformities (including Growing-Rod Techniques & VBT (Vertebral Body Tethering)), Degenerative Conditions (Cervical/Lumbar Disc Disease, Stenosis, Radiculopathy) and Spine Trauma and Tumours.

His advanced credentials include specialized training in Anterior Deformity Approaches, Dynamic Stabilization, Interventional Pain Procedures, Kyphoplasty, and extensive operative experience in Spinal Decompressions, Cervical/Lumbar Fusion, Disc Prosthesis Surgery, Scoliosis Reconstruction, Vertebral Body Replacement, Spine Tumour Surgery, and Fracture Fixation.

He is also active in education and professional exchange as a Speaker/Lecturer in regional and international forums, and maintains memberships including the German Spine Surgery Society (DWG).

PROFESSIONAL BACKGROUND

AREAS OF EXPERTISE

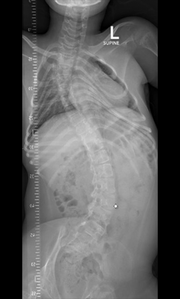
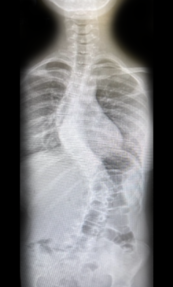
  • Scoliosis surgery with small incisions using flexible correction technology (VBT) and growth-preserving techniques such as remotely controlled magnetic growing rods
  • Scoliosis for children and adults
  • Kyphosis correction surgery
  • Lumbar, thoracic, and cervical spine surgery
  • Corrective spine surgeries, complex spine surgeries, and revision of failed surgeries
  • Spinal fixation and fusion surgeries
  • Degenerative spine surgeries, disc erosion, and spinal stenosis via small incisions
  • Microscopic spine surgery
  • Microscopic cervical spine surgery
  • Spinal fracture surgery
  • Spinal tumor surgery

EDUCATIONAL QUALIFICATIONS

  • German Board in Orthopaedics & Spine Surgery, Berlin, Germany
  • German Board of Pain Therapy, Berlin, Germany
  • Board Certification, Facharzt in Orthopaedics and Traumatology, Berlin, Germany
  • German Medical License, Berlin, Germany
  • Master Degree in Orthopaedics, Aleppo University, Syria
  • Board Certification in Orthopaedics and Traumatology, Aleppo University, Syria

MEMBERSHIP / AFFILIATIONS

  • DWG German Spine Surgery Society
  • DGOU German Society of Orthopaedics and Traumatology
  • Arabic German Society

CREDENTIALS

  • Speaker at Seha International Conference of Trauma, UAE
  • Certificate of Advanced Spine Children Deformities, Hong Kong
  • Lecturer in AO Spine Local Seminar, UAE
  • Certificate of Spine deformity Anterior Approaches, Germany
  • Certificate of Advanced Children Spine Deformities, Neustadt, Germany
  • Certificate of Advanced Children Spine Deformities, Germany
  • Speaker at Seha International day of Radiology, UAE
  • Certificate of Advanced Spine Children Deformities, Neustadt, Germany
  • Certificate of Dynamic Stabilization Spine Surgery, Czech Republic
  • Certificate of DWG Basic Spine Surgery, Germany
  • Certificate of Spine deformity Operation-Sagittal Balance, Spain
  • Certificate of DWG Conservative Spine Therapy and Pain Therapy, Germany
  • Certificate of DWG Master Spine Surgery, Germany
  • Certificate of DWG basic Spinal Intradural lesions, Swiss
  • Certificate of DWG Spine Degenerative Surgery, Germany
  • Certificate of DWG Spine Fractures Surgery, Germany
  • Certificate of Spinal interventional Pain Therapy, Germany
  • Certificate of Advanced Spine Deformities, Swiss
  • Certificate of Charite Spine Tumour, Germany
  • Certificate of Basic Operation in Spine Surgery, Germany
  • Certificate of Knee Prosthesis, Germany

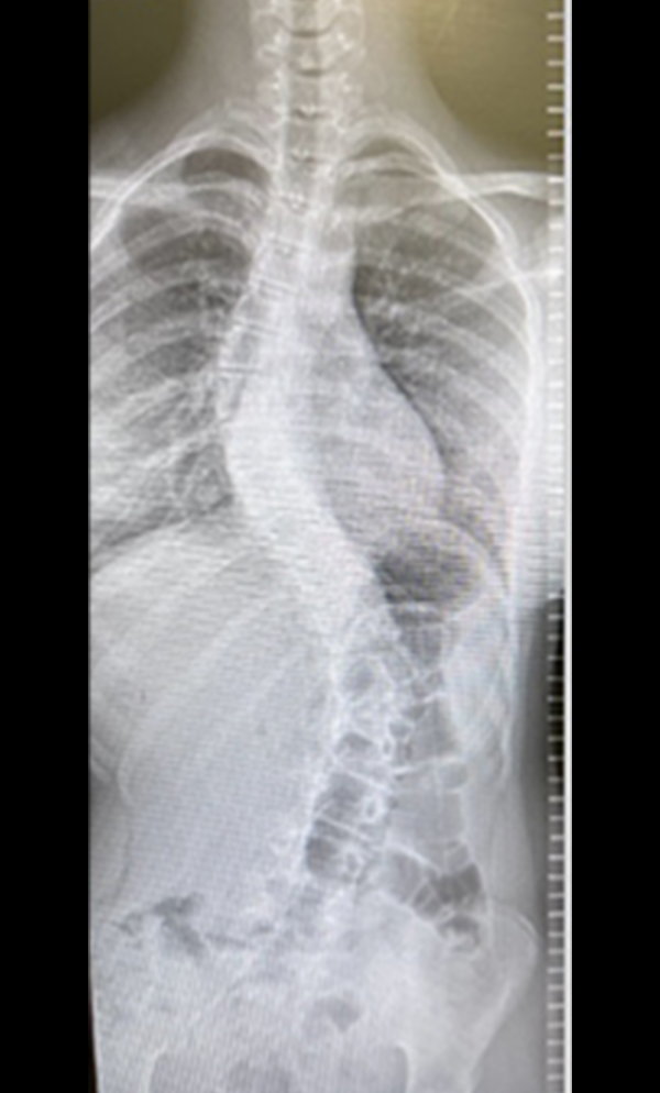
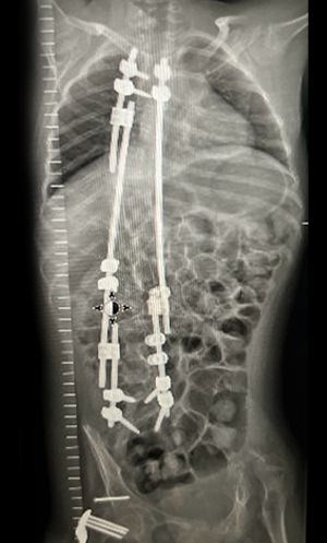
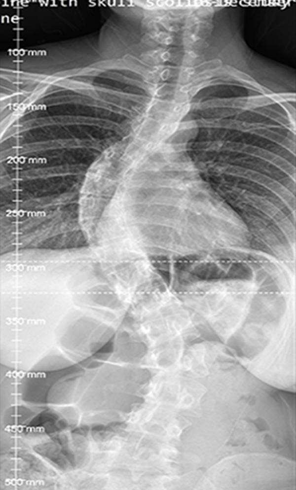
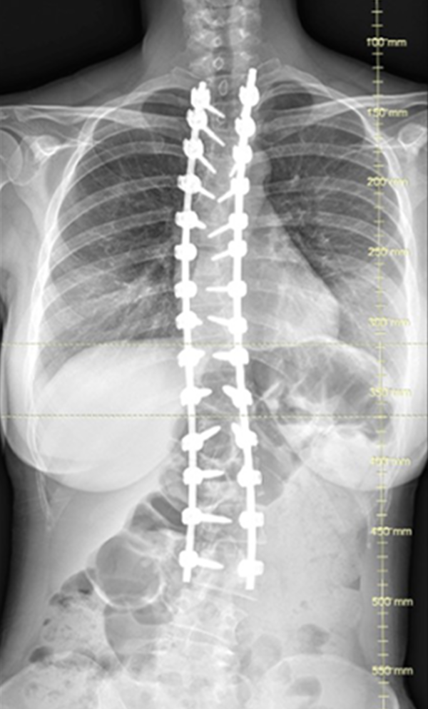
Gallery : Before - After

calendar-icon-desktop Adam hospital whatsapp
 BOOK NOW| CALL NOW| whatsapp icon  CHAT

MOH License Number : KM06512 – 10/06/2026